症例報告(4/6UP)
膝蓋骨骨折
膝蓋骨骨折の症例報告
患者情報
70代女性
受傷の経緯
2月26日、濡れている床で足を滑らせ転倒し、右膝を床に強打。電話連絡を受け、お昼休憩中でしたが即時来院可能とのことで応急受診となりました。
初検時の評価
- 半月板・側副靭帯テスト:陰性
- ラックマン:疼痛のため施行不可
- 膝蓋骨部に強い圧痛
- 脛骨内外側に圧痛なし
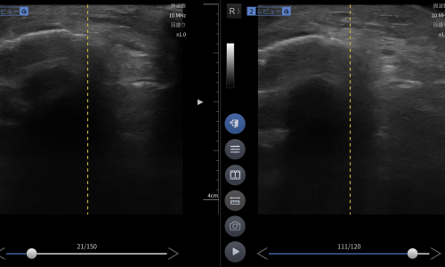
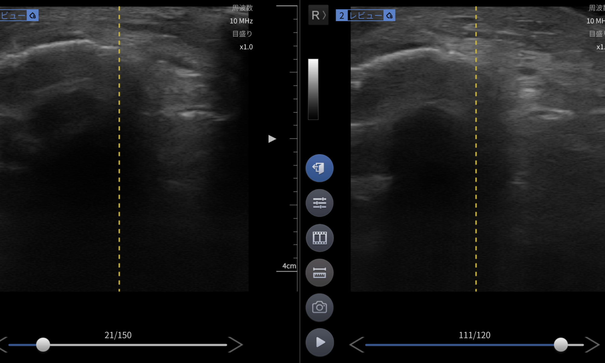
臨床的に高齢者の転倒による膝強打では膝蓋骨骨折を強く疑う所見。エコーで関節内血腫を確認し、膝蓋骨に骨折様所見を認め、膝蓋骨骨折および関節内損傷を疑い整形外科へ紹介しました。
医科診断
関節穿刺にて血腫を確認後、MRIで膝蓋骨骨折を確認。縦方向に亀裂が入り2分割。その他の関節内骨折は認めず。
初期処置
- シーネ固定
- 弾性包帯による圧迫

施術経過
0〜1週
- 医師同意のもとLIPUS開始(毎日20分)
- 松葉杖にて免荷指導
- EMSにて大腿四頭筋萎縮予防
LIPUSは1回の刺激でも効果が期待されますが、連日照射により骨癒合過程を継続的に促進できる点が重要です。
特に受傷初期〜仮骨形成期にかけては、細胞レベルでの修復活動が活発になるため、間隔を空けずに毎日刺激を入れることが理にかなっています。
本症例では、毎日20分のLIPUSを継続したことで、約2週で骨癒合良好所見を確認でき、早期の可動域訓練へ移行することが可能となりました。

2週
- エコーで骨癒合良好
- 膝蓋骨圧痛消失
- ROM訓練開始
3〜4週
- 屈曲可動域回復
- 松葉杖離脱
- 疼痛消失
4〜5週
- 骨癒合確認(レントゲン)
- 日常生活問題なし
- LIPUS終了

一般的な保存療法との比較
- 骨癒合:約4〜6週
- 固定による関節拘縮あり
- 可動域回復に追加期間を要する
- 完治まで:約2か月
- LIPUSによる骨癒合促進
- EMSによる筋萎縮予防
- 早期ROM開始
- 約1〜1.5か月で回復
- 後遺症ほぼなし
まとめ
急な転倒・膝のケガでお困りの方へ
転倒や強打による膝の痛みは骨折の可能性もあります。
LINEまたはお電話にてご連絡ください。
※本ページは柔道整復師による施術紹介であり、診断や治癒を保証するものではありません。



