症例報告(12/25UP)
中手骨頸部骨折
中手骨頸部骨折の症例報告|ナックルキャスト固定とエコー観察|よねくら接骨院(稲城市)
【症例報告】第4・第5中手骨頸部骨折(転倒で手をついた)
エコー観察+整復+ナックルキャスト固定
今回は、自宅で転倒し壁に手をついた際に受傷した第4・第5中手骨頸部骨折(多発)の症例報告です。 受傷が18時過ぎで整形外科の診療時間外だったため、患者さんより当院へお電話をいただき、応急対応として来院されました。 予約なしでの来院でしたが、所見より救急性が高いと判断し、当院で対応しました。
患者情報と受傷状況
- 30代 男性
- 受傷機転:自宅で転倒し、手を壁について負傷
- 来院経緯:整形外科が時間外のため当院へTEL → 応急来院
初検時の所見
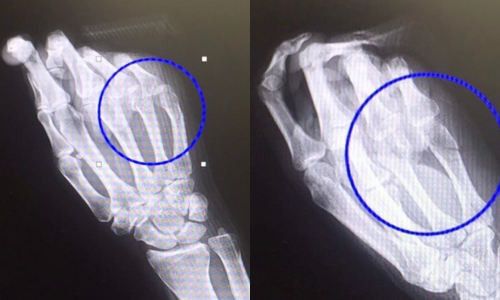
- 右第4・第5中手骨頭部周辺に強い圧痛、介達痛
- 手背〜手部全体に腫脹
- 運動時痛が強く、手関節より末梢の自動運動が困難

当院でのエコー観察と応急整復
触診所見に加えて、当院では超音波画像観察(エコー)を行い、骨皮質の連続性や転位方向などを確認します。 本ケースでは、第5中手骨頸部および第4中手骨頸部に骨折が疑われる所見を確認し、 さらに転位(遠位骨片が掌側方向)が疑われたため、応急的に整復を行いました。 ※当院は医師のような「診断」はできないため、ここでは「判断」「疑い」として記載しています。
中手骨頸部骨折で用いられる代表的な整復方法
中手骨頸部骨折では、MP関節を屈曲位にしてテコの原理を使い、掌側へ転位した遠位骨片(中手骨頭側)を背側へ戻す整復の考え方が用いられます。 ここでは「一人でも行える」代表手技のイメージとして、一般化した手順を示します(状態により適否は異なります)。
- 前腕〜手を安定させ、腫脹・皮膚状態・循環(色/冷感)・しびれの有無を確認。
- MP関節を約70〜90°屈曲位へ誘導し、近位指節骨を支点として使える姿勢を作る。
- 中手骨頭部(遠位骨片)を、背側方向へ押し上げるように圧を加え、アライメントを整える。
- 整復位が得られたら、その位置を保持したまま固定へ移行する。
※強い変形、循環・神経症状、皮膚トラブル、痛みの反応が強い場合などは、医療機関での評価が優先されます。

エコーでの整復前・整復後イメージ
整復の前後でエコー観察を行い、骨皮質の段差やアライメントの変化を確認しました。 画像で変化を確認できることは、固定肢位の妥当性や再転位リスクの説明にも役立ちます。


固定と整形外科への対診
整復後は、シーネによる固定と三角巾による肘の保持(挙上位)で安静を確保し、整形外科へ対診しました。 整形外科にて第4中手骨および第5中手骨頸部骨折と診断され、整復位良好との評価のもと、当院での保存的な対応(固定管理と経過観察、施療)を行う指示をいただきました。

固定の変更:シーネ固定 → ナックルキャスト固定
受傷から約1週間後、腫脹や皮膚状態を確認した上で、固定をシーネ固定からナックルキャスト固定へ変更しました。
ミニコラム:ナックルキャスト固定とは?(中手骨頸部骨折での考え方)
ナックルキャスト固定は、拳(ナックル)周囲の形状と指の肢位を意識して作成するキャスト固定で、 主に中手骨頸部骨折などで選択される固定方法の一つです。 目的は、単に骨折部を「固める」ことではなく、骨折部の安定と手指機能の温存を両立させることにあります。
中手骨頸部骨折では、骨折部が掌側へ転位しやすく、また固定方法によっては MP関節(指の付け根)が硬くなりやすいという特徴があります。 そのため、当院では状態に応じて、 MP関節を屈曲位(目安:70〜90°)に近づけた肢位を意識した固定設計を行います。 これは、いわゆる「安全肢位(intrinsic plus)」の考え方を応用したものです。
ナックルキャスト固定の利点は、屈曲拘縮を予防しやすい点にあります。 一般的な手関節〜手指を一体で固める固定では、固定解除後に 「握りにくい」「指が最後まで曲がらない」といった訴えが残ることがあります。 ナックルキャストでは、拳の形を保ちやすいため、 固定後のROM(可動域)訓練へ比較的スムーズに移行しやすい傾向があります (※回復には個人差があります)。
私自身、整形外科勤務時代に上肢外傷の固定設計を学び、 ナックルキャスト固定の作成経験を積んできました。 一方で、柔道整復の現場ではナックルキャストの作成経験が十分でないケースも少なくなく、 固定は「作って終わり」ではなく、皮膚・循環・しびれの確認と経過管理が重要だと考えています。
当院では、医師の評価(対診)と方針を共有した上で、 固定力・肢位・日常生活への影響を総合的に考慮し、ナックルキャスト固定を選択しています。

LIPUS加療のための開窓処置
固定管理の一部として、医師の同意・指示のもとでLIPUS(低出力パルス超音波)を行うため、 キャストに開窓処置を行いました。固定力を保ちつつ、骨折部位へ安定してプローブを当てやすくなり、骨癒合を促進致します。

LIPUSの根拠(参考文献)
- Heckman JD, et al. Acceleration of tibial fracture-healing by non-invasive, low-intensity pulsed ultrasound. J Bone Joint Surg Am. 1994.
- Kristiansen TK, et al. Accelerated healing of distal radius fractures with the use of specific, low-intensity ultrasound. J Bone Joint Surg Am. 1997.
- Schandelmaier S, et al. Low intensity pulsed ultrasound for bone healing: systematic review of randomized controlled trials. BMJ. 2017.
固定期間と経過(ROMと拘縮予防)
固定中に行ったこと
- 医師の同意・指示の範囲でLIPUSを併用(固定管理の一部として)
- 固定範囲内でのROM運動(無理のない範囲で)を早期から実施し、関節拘縮の予防を図る
ナックルキャスト固定期間
ナックルキャスト固定は一般に2〜3週が一つの目安になりますが、本ケースは第4・第5の両骨折であることも踏まえ、 固定をやや長めに確保しました。固定終了は11月10日で、受傷日(10月8日)から約4週間半(約33日)の固定期間となりました。
キャスト除去後:ラジオ波併用でROM訓練へ
キャスト除去後は状態を確認しながら、ラジオ波を併用してROM訓練を開始しました。 ナックルキャスト固定は屈曲拘縮を予防しやすい反面、固定の影響で伸展方向のROM低下が目立つことがあります。 ただし、伸展方向の可動域は比較的改善しやすいことも多く、反応を見ながら段階的に進めました(※個人差があります)。

対立運動(母指)もあわせて
手の機能は曲げ伸ばしだけでなく、母指の対立運動(つまむ・握るの要)も重要です。 本ケースでは対立運動も低下していたため、痛みや腫れの反応を見ながらROMを実施しました。
最終評価
- 痛み:なし
- ROM:問題なし
- 日常生活:支障なし
- 手先を使う仕事:支障なし
以上より、経過と機能面から総合的に判断し12月中旬に「治癒」となりました。
よくある誤解
「動くから大丈夫」→ 受診が遅れる
手の骨折は、ある程度動いてしまうこともあります。しかし転位があると、握る・つまむ動作に影響が出ることがあります。 強い圧痛、介達痛、腫脹、運動時痛がある場合は、早めに医療機関への相談をご検討ください。
「固定は短いほど良い」→ 早すぎる除去で再転位リスク
固定は短ければ良いわけではなく、骨折の部位・転位・本数(単発か多発か)などで必要期間が変わります。 本ケースも、両骨折である点を踏まえ、経過を見ながら固定期間を調整しました。
免責・注意
本ページは、よねくら接骨院の施療内容を紹介する症例報告です。接骨院では医師のような診断はできないため、当院内の所見は「判断」「疑い」として記載し、最終的な診断は医療機関(整形外科)の評価に基づきます。症状が強い場合や骨折が疑われる場合は、速やかに医療機関の受診をご検討ください。

